Before & Afters


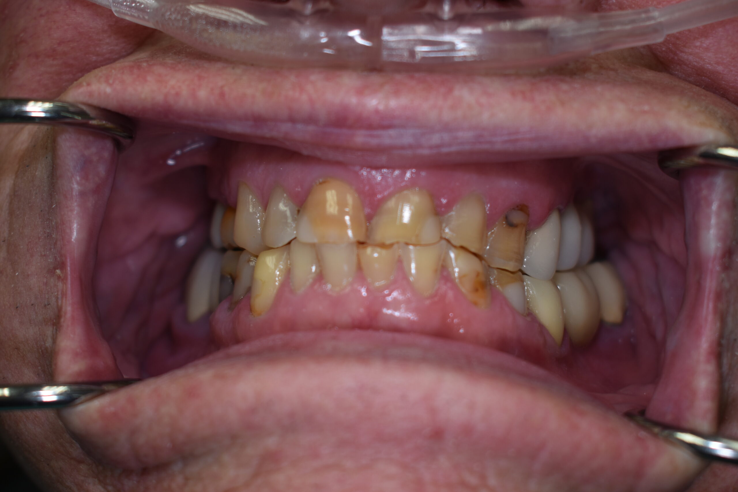
Before
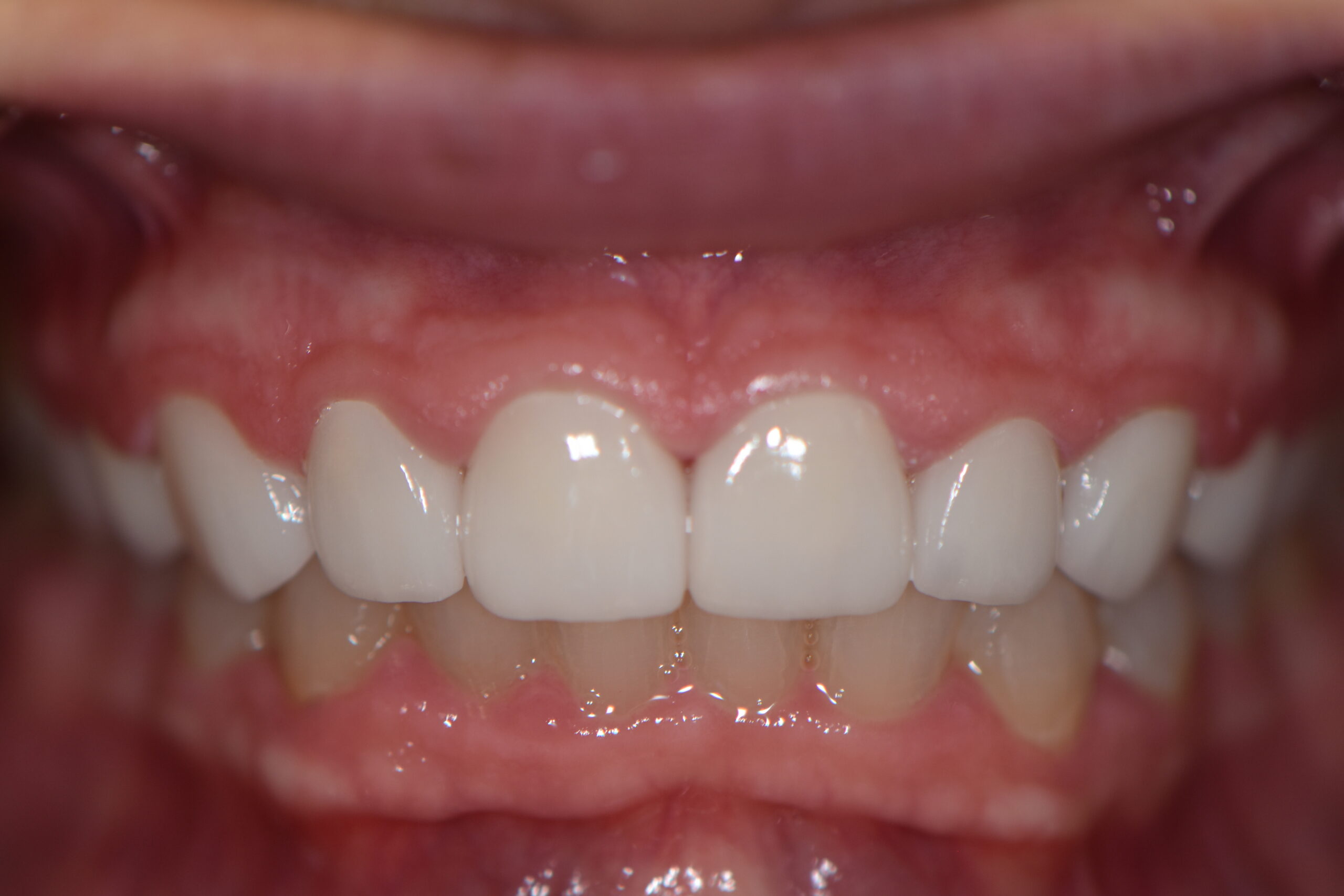
After


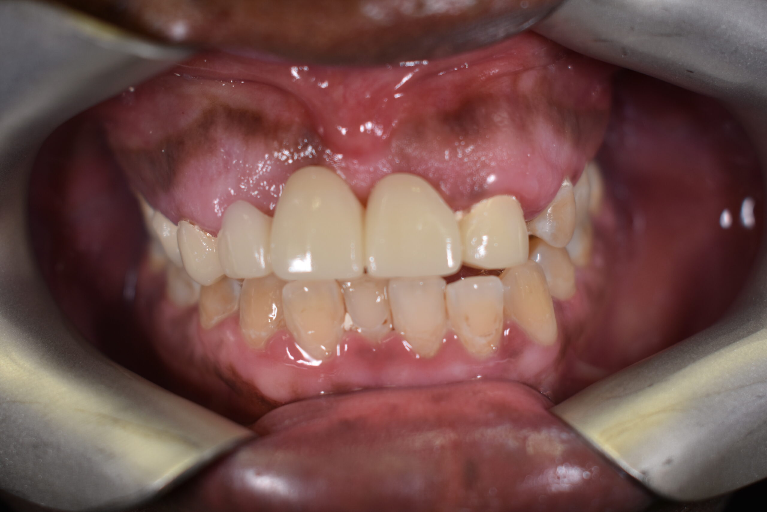
Before
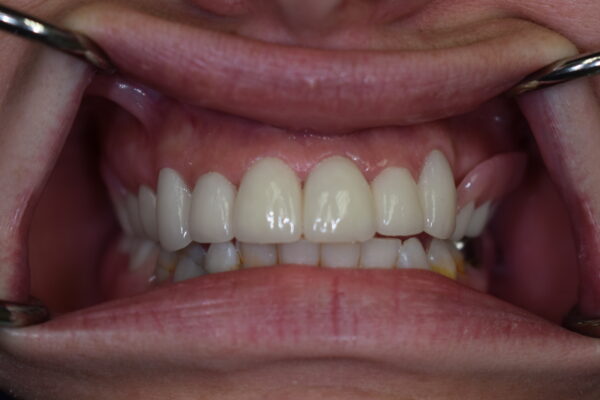
After


Before
After


Before
After


Before
After
What Our Patients Say
The staff was extremely friendly! Dr Graham was quick and made my procedure painless. I was extremely anxious coming to the dentist but think I’ve found my regular office! Thank you to everyone who made me feel comfortable!
Rebekah C.
I feel truly blessed every time we visit Dr. Silvertooth and his very compassionate and knowledgeable staff. You really feel like you matter to everyone there!
Kim H.
Dr. Silvertooth and his staff always greets my family with a smile. Their staff is exemplary and their work is something you can count on to be satisfactory. Always a pleasure.
Nelda W.
Professional, courteous, clean, and efficient at taking care of my dental needs. I would recommend this dentist office to anyone!
Chester W.
